
瑞健診所
加入時間:2009-05-09
瀏覽次數:1171by:瑞健診所
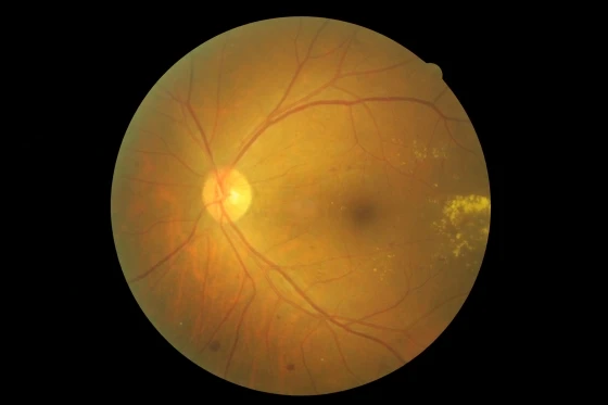
眼底攝影-PPDR增生前糖尿病視網膜病變
增生前糖尿病視網膜病變(preproliferative diabetic retinopathy, 簡稱:PPDR) . . . .

PPDR(增生前糖尿病視網膜病變)
增生前糖尿病視網膜病變(preproliferative diabetic retinopathy, 簡稱:PPDR)

.

.

.

.

.

.

瑞健診所
公司位置:台中市-北屯區
統一編號:87876350
聯絡人:葉小姐
電話:04-22416859
服務時間:星期一至星期六每天早上8:20~12:00
晚上4:50~9:30
每星期日全日休診
聯繫詢價公司介紹
相關產品
-

眼底攝影-BDR 背基型糖尿病視網膜病變
背基型糖尿病視網膜病變(backgrounddiabetic
-

糖尿病視網膜病變
前言
-

眼底攝影-normal 正常眼底
正常眼底1.視網膜動脈 2.視網膜靜脈 3.視網膜中央凹 4
-

眼底攝影-PPDR增生前糖尿病視網膜病變
增生前糖尿病視網膜病變(preproliferative d
-

眼底攝影-PDR 增生性糖尿病視網膜病變
增生性糖尿病視網膜病變(proliferative diab
-

眼底攝影-Advanced PDR
晚期糖尿病眼疾(Advanced diabetic eye
相關服務
-

即日起成立《瑞健聯誼會》,加入會員可享多重優惠及福利 ^
號外!!即日起成立《瑞健聯誼會》,加入會員可享多重優惠及福利
-

肝臟腹部的超音波影像
正常肝臟
-
慢性肝炎的檢查
慢性肝炎檢查肝功能檢查
-

乳房超音波篩檢
1.篩檢的適合對象(1)乳癌篩檢:乳癌高危險群或懷疑有乳癌的
-

乳房自我檢查
1.時間:每個月一次,於月經開始第7~8天(或7~14天)檢
-

C型肝炎保健需知
慢性C型肝炎保健須知
-

B型肝炎保健需知
B型肝炎保健須知
-

瑞健診所Facebook粉絲群成立囉!!
喜愛瑞健診所的大家,《瑞健診所粉絲專頁》開啟囉!在裡面可以
-
相關詢價
-
醫療藥品批發費用
來自:百OO療OO股OO限OO 詢價
***3@sincerehealth.com.tw
-
想問過敏檢測費用
來自:蔡OO 詢價
***ny25272829@gmail.com
-
銀之杏 Gincare
來自:黃OO 詢價
***ung888@hotmail.com
https://0939457771.web66.com.tw/web/NMD?postId=175519Olivia 煥顏純C精華組
【產品效能】: 左旋維他命C 是人體肌膚能夠直接利用的維他命C,這款高濃度左旋維他命C【L-(+)-ASCORBIC ACID】純液能夠抗氧化、幫助膠原蛋白作用,具有明亮均勻膚色、緊實肌膚、
關鍵字:
#糖尿病#視網膜#增生#病變#簡稱#ppdr#視網膜病變



