
瑞健診所
加入時間:2009-05-09
瀏覽次數:7566by:瑞健診所
肝臟腹部的超音波影像
正常肝臟

正常肝臟
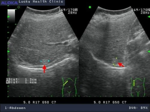
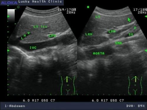
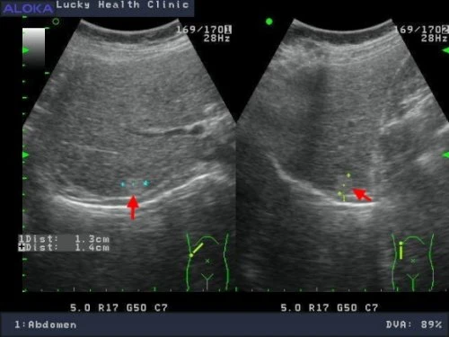
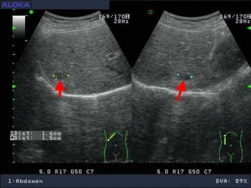
正常肝臟![]() Rt liv :右葉肝臟 IVC :下腔靜脈 hepatic V :肝靜脈 ![]() Lt liv :左葉肝臟 , LHV :左側肝靜脈 , LPV :左側肝門靜脈 , IVC :下腔靜脈 , SMA :上腸繫膜動脈 , SV :脾靜脈 , P :胰臟 , AORTA:主動脈 肝癌 ![]() 肝硬化合併早期肝癌1.4公分 ![]() 轉移性肝癌 ![]() 肝癌局部復發 1.6 公分 ![]()
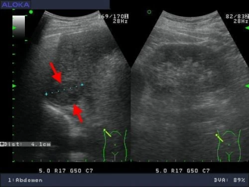
深部肝癌
![]() 8.4公分肝癌 1/2 更多的影像請連結:http://www.doctor.tw/gallery/index.php?type_id=9 |

肝癌
瑞健診所
公司位置:台中市-北屯區
統一編號:87876350
聯絡人:葉小姐
電話:04-22416859
服務時間:星期一至星期六每天早上8:20~12:00
晚上4:50~9:30
每星期日全日休診
聯繫詢價公司介紹
相關服務
-

即日起成立《瑞健聯誼會》,加入會員可享多重優惠及福利 ^
號外!!即日起成立《瑞健聯誼會》,加入會員可享多重優惠及福利
-

肝臟腹部的超音波影像
正常肝臟
-
慢性肝炎的檢查
慢性肝炎檢查肝功能檢查
-

乳房超音波篩檢
1.篩檢的適合對象(1)乳癌篩檢:乳癌高危險群或懷疑有乳癌的
-

乳房自我檢查
1.時間:每個月一次,於月經開始第7~8天(或7~14天)檢
-

C型肝炎保健需知
慢性C型肝炎保健須知
-

B型肝炎保健需知
B型肝炎保健須知
-

瑞健診所Facebook粉絲群成立囉!!
喜愛瑞健診所的大家,《瑞健診所粉絲專頁》開啟囉!在裡面可以
相關產品
-

眼底攝影-BDR 背基型糖尿病視網膜病變
背基型糖尿病視網膜病變(backgrounddiabetic
-

糖尿病視網膜病變
前言
-

眼底攝影-normal 正常眼底
正常眼底1.視網膜動脈 2.視網膜靜脈 3.視網膜中央凹 4
-

眼底攝影-PPDR增生前糖尿病視網膜病變
增生前糖尿病視網膜病變(preproliferative d
-

眼底攝影-PDR 增生性糖尿病視網膜病變
增生性糖尿病視網膜病變(proliferative diab
-

眼底攝影-Advanced PDR
晚期糖尿病眼疾(Advanced diabetic eye
-
相關詢價
-
貓咪體檢詢價費用
來自:李OO 詢價
***gkal12478@gmail.com
-
檢查五大關鍵營養素(維生素D3、鋅、葉酸、鐵蛋白、維生素B12)
來自:何OO 詢價
***odylh.ho@gmail.com
-
關於250ML軟袋生理食鹽水價格諮詢
來自:周OO 詢價
***rry81053123@gmail.com
https://0425687577.tw66.com.tw/web/SEC?postId=575758產後瘦身月子餐
用心貼心放心的服務月子餐服務請找寶媽
關鍵字:
#合併#多囊肝#影像#肝癌#肝硬化#肝臟#肝臟囊泡#脂肪肝#血管瘤#連結










